
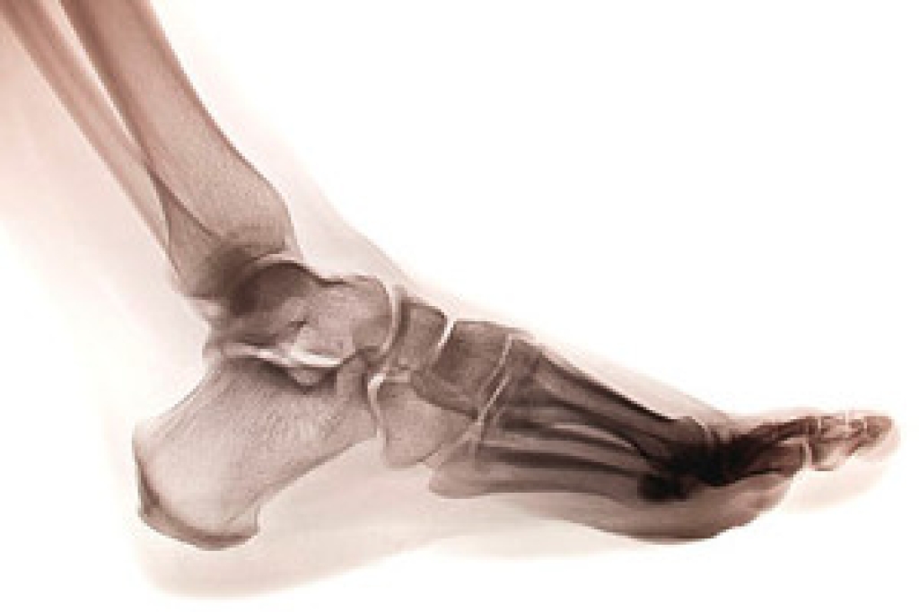
There are five metatarsal bones found in the foot, each connecting the heel/arch to the toes. These long bones play a critical role in helping the foot function. However, the metatarsal bones can suffer from what is known as a stress fracture, a crack in the bone that develops from repeated trauma. The metatarsal bones are the second most common bones in the lower limbs to suffer from stress fractures, the first being the tibia leg bone. Of the five metatarsals, the second and third metatarsal bones are the most commonly afflicted. One common symptom of a metatarsal stress fracture is pain felt in the foot when walking or running. If you are running long distances and are not wearing the right kind of footwear, you might be increasing your risk of developing a stress fracture. Contact a podiatrist today for more information about metatarsal stress fractures.
Activities where too much pressure is put on the feet can cause stress fractures. To learn more, contact Dr. Scott Peters from Ankle & Foot Walk-In Clinic. Our doctor can provide the care you need to keep your pain free and on your feet.
Dealing with Stress Fractures of the Foot and Ankle
Stress fractures occur in the foot and ankle when muscles in these areas weaken from too much or too little use. The feet and ankles then lose support when walking or running from the impact of the ground. Since there is no protection, the bones receive the full impact of each step. Stress on the feet can cause cracks to form in the bones, thus creating stress fractures.
What Are Stress Fractures?
Stress fractures occur frequently in individuals whose daily activities cause great impact on the feet and ankles. Stress factors are most common among:
- Runners
- People affected with Osteoporosis
- Tennis or basketball players
- Gymnasts
- High impact workouts
Symptoms
Pain from the fractures occur in the area of the fractures and can be constant or intermittent. It will often cause sharp or dull pain with swelling and tenderness. Engaging in any kind of activity which involves high impact will aggravate pain.
If you have any questions please contact our office located in Mayfield Village, OH . We offer the newest diagnostic and treatment technologies for all your foot and ankle needs.



