
Heel pain in older adults often stems from age-related changes in the feet, including soft tissue degeneration, reduced bone density, and long-standing biomechanical stress. A frequent cause is plantar fasciitis, an inflammatory condition of the plantar fascia that commonly produces sharp pain with the first steps after rest. Heel spurs may develop beneath the calcaneus, or heel bone, and can contribute to additional discomfort. Achilles tendinitis may cause pain at the back of the heel due to overuse or limited flexibility, while arthritis in the rearfoot or midfoot joints can create stiffness and reduced mobility. Seniors are also at increased risk for calcaneal stress fractures, retrocalcaneal bursitis, and heel pad atrophy, which results from thinning of the natural cushioning under the heel. Nerve conditions such as tarsal tunnel syndrome or peripheral neuropathy may cause burning or tingling heel pain. If you have ongoing heel pain, it is suggested that you make an appointment with a podiatrist to determine the underlying cause and select appropriate treatment.
Many people suffer from bouts of heel pain. For more information, contact Dr. Scott Peters of Ankle & Foot Walk-In Clinic. Our doctor can provide the care you need to keep you pain-free and on your feet.
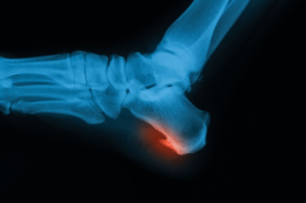
Causes of Heel Pain
Heel pain is often associated with plantar fasciitis. The plantar fascia is a band of tissues that extends along the bottom of the foot. A rip or tear in this ligament can cause inflammation of the tissue.
Achilles tendonitis is another cause of heel pain. Inflammation of the Achilles tendon will cause pain from fractures and muscle tearing. Lack of flexibility is also another symptom.
Heel spurs are another cause of pain. When the tissues of the plantar fascia undergo a great deal of stress, it can lead to ligament separation from the heel bone, causing heel spurs.
Why Might Heel Pain Occur?
- Wearing ill-fitting shoes
- Wearing non-supportive shoes
- Weight change
- Excessive running
Treatments
Heel pain should be treated as soon as possible for immediate results. Keeping your feet in a stress-free environment will help. If you suffer from Achilles tendonitis or plantar fasciitis, applying ice will reduce the swelling. Stretching before an exercise like running will help the muscles. Using all these tips will help make heel pain a condition of the past.
If you have any questions, please feel free to contact our office located in Mayfield Village, OH . We offer the newest diagnostic and treatment technologies for all your foot care needs.



